El análisis de sangre para detectar tumores cerebrales representa un avance prometedor que podría cambiar la forma en que se detectan y monitorean estas enfermedades.
Un equipo de científicos liderado por la Universidad de Manchester, en colaboración con investigadores de Dinamarca, desarrolló una prueba capaz de identificar tumores cerebrales con una precisión superior al 90 por ciento. El estudio se publicó en la revista Neuro-oncology Advances.
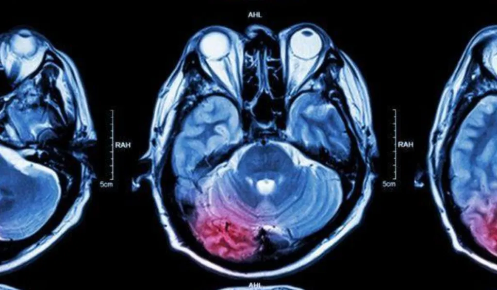
Actualmente, el diagnóstico de estos padecimientos suele implicar procedimientos invasivos como biopsias o múltiples resonancias magnéticas. Este nuevo enfoque propone una alternativa más rápida y menos agresiva para los pacientes.
Análisis de sangre para tumores cerebrales: cómo funciona
La prueba se basa en la detección de dos proteínas específicas en la sangre que actúan como marcadores del tumor. Estos biomarcadores no solo permiten identificar la presencia de la enfermedad, sino también observar cómo responde al tratamiento.
El método fue validado en pacientes con glioblastoma, uno de los cánceres más complejos. Durante el seguimiento, los científicos observaron que los niveles de estas proteínas cambiaban según la evolución del tumor: aumentaban cuando crecía y disminuían con tratamientos como quimioterapia.
La investigadora principal, Petra Hamerlik, destacó que la estabilidad de estos marcadores es clave, incluso cuando los tumores presentan variaciones genéticas.
Diagnóstico más rápido y menos invasivo
El impacto potencial de esta prueba es significativo. De acuerdo con expertos como Simon Newman, un diagnóstico temprano es crucial, pero las herramientas actuales suelen ser limitadas y tardadas.
La propuesta es que este análisis pueda utilizarse en consultas médicas básicas, especialmente cuando un paciente presenta síntomas recurrentes. Esto permitiría detectar posibles tumores antes de recurrir a estudios más complejos.
Además, el equipo ya inició ensayos clínicos en varios centros del Reino Unido y otros países. A futuro, se busca desarrollar un dispositivo sencillo, similar a una prueba rápida, que facilite su uso.
Si se valida a gran escala, este análisis de sangre podría transformar el diagnóstico, seguimiento y tratamiento de los tumores cerebrales, mejorando significativamente el pronóstico de los pacientes.



















